
폐결절은 생각보다 많은 사람들이 검진을 통해 우연히 발견하게 되는 소견입니다. 이 글에서는 폐결절이 무엇인지, 어떤 증상이 나타날 수 있는지, 그리고 어떻게 받아들이고 관리해야 하는지 알려드리겠습니다.
“아무 증상도 없었는데 폐에 결절이 있다더라고요.”

50대 초반의 한 지인은 매년 정기적으로 건강검진을 받아왔습니다. 어느 해처럼 흉부 CT를 찍었는데, 결과 상담에서 의사가 조심스럽게 “작은 폐결절이 하나 보인다”고 말했습니다. 평소 기침도 거의 없었고, 숨이 찬 적도 없었기에 처음엔 믿기지 않았다고 합니다. ‘혹시 큰 병은 아닐까’라는 생각에 며칠 밤을 설쳤지만, 추가 검사와 경과 관찰을 통해 크기 변화가 없다는 것을 확인하고서야 마음을 놓을 수 있었습니다. 이 경험 이후로 그는 증상이 없어도 정기적인 검진이 얼마나 중요한지 실감했다고 말합니다.
폐결절이란?
![]() |
![]() |
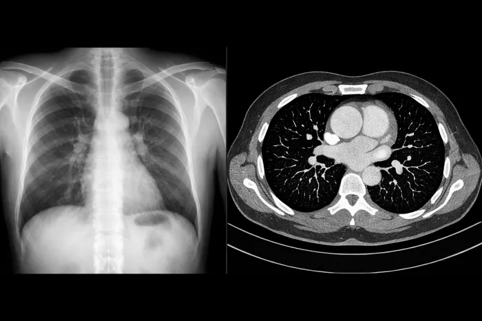
폐결절이란 폐 조직 안에 생긴 작은 덩어리를 의미합니다. 보통 흉부 엑스레이나 CT 검사에서 우연히 발견되는 경우가 많으며, 크기는 대개 3cm 이하입니다. 이보다 큰 경우에는 다른 용어로 구분하기도 합니다. 폐결절은 하나만 보일 수도 있고, 여러 개가 동시에 발견되기도 합니다.
중요한 점은 폐결절이 하나 발견되었다고 해서 모두 심각한 질환을 의미하는 것은 아닙니다. 염증이 남은 흔적일 수도 있고, 과거 감염 이후 생긴 변화일 수도 있습니다. 다만, 정확한 판단을 위해서는 크기, 모양, 위치, 변화 속도 등을 종합적으로 살펴봐야 합니다.
⚠️ 폐결절 증상이 없는 경우가 더 많은 이유
폐결절은 크기가 매우 작고 폐 기능에 큰 영향을 주지 않는 경우가 많아 특별한 증상이 없는 경우가 대부분 무증상으로 발견됩니다그래서 건강검진이나 다른 이유로 촬영한 영상 검사에서 우연히 발견되는 일이 흔합니다.
폐결절 증상
폐결절로 인해 나타나는 대표적인 증상 4가지 입니다.
1. 기침이 잦아질 수 있습니다
일부 경우에는 평소보다 기침이 잦아질 수 있습니다. 하지만 이 역시 감기나 알레르기와 구분하기 어려운 정도인 경우가 많아 쉽게 지나치게 됩니다. 기침이 오래 지속되거나 점점 심해진다면 검사를 고려해볼 필요가 있습니다.
![]() |
![]() |
![]() |
2. 가슴 답답함이나 불편감
폐결절이 위치한 부위에 따라 가슴이 답답하거나 불편한 느낌을 호소하는 경우도 있습니다. 다만 통증이 뚜렷하게 나타나는 경우는 드물며, 다른 호흡기 질환과 함께 나타나는 경우가 많습니다.
3. 숨이 차는 느낌
결절의 크기가 크거나 여러 개가 동시에 존재할 경우, 호흡 시 숨이 찬 느낌이 들 수 있습니다. 특히 계단을 오르거나 빠르게 걸을 때 이전보다 숨이 더 가쁘게 느껴진다면 주의 깊게 살펴봐야 합니다.
4. 객혈
아주 드물지만 기침할 때 피가 섞여 나오는 경우도 있습니다. 이 경우에는 반드시 병원을 찾아 정확한 검사를 받아야 하며, 다른 원인과의 감별이 필요합니다.
폐결절의 크기와 증상의 관계
➜ 작을수록 증상은 거의 없습니다
대부분의 폐결절은 1cm 이하로 매우 작습니다. 이 정도 크기에서는 폐 기능에 영향을 주지 않아 증상이 거의 나타나지 않습니다. 그래서 ‘증상이 없는데 왜 관리해야 하느냐’는 질문을 많이 받게 됩니다.
하지만 크기가 작더라도 시간이 지나면서 변화가 생길 수 있기 때문에, 일정 기간 동안 크기 변화 여부를 확인하는 것이 중요합니다.

➜ 폐결절이 모두 위험한 것은 아닙니다
폐결절 은 양성 결절인 경우가 훨씬 많습니다. 과거 감염, 염증 반응, 흉터 등으로 인해 남은 흔적인 경우가 많습니다. 특히 크기가 작고, 가장자리가 매끄러우며, 오랜 기간 변화가 없다면 양성일 가능성이 높습니다.
반면 크기가 점점 커지거나, 모양이 불규칙한 경우에는 보다 면밀한 관찰이 필요합니다. 이때는 의사의 판단에 따라 추가 검사나 추적 촬영이 진행됩니다.
폐결절 발견 후 어떻게 관리해야 할까요?
정기적인 영상 검사
폐결절이 발견되면 일정 간격으로 CT 검사를 통해 크기와 형태 변화를 확인합니다. 보통 3개월, 6개월, 1년 단위로 추적 관찰을 하게 되며, 변화가 없다면 검사 간격이 점점 늘어납니다.
생활습관 점검
흡연은 폐 건강에 가장 큰 영향을 주는 요인 중 하나입니다. 폐결절이 발견되었다면 금연은 선택이 아니라 필수에 가깝습니다. 또한 미세먼지가 심한 날에는 외출을 줄이고, 충분한 수분 섭취와 휴식을 통해 폐를 보호하는 것이 좋습니다.
불필요한 걱정은 줄이기
인터넷 검색을 통해 최악의 상황만 떠올리다 보면 스트레스가 커질 수 있습니다. 폐결절은 의학적으로 관리 방법이 비교적 명확한 소견이므로, 담당 의료진의 설명과 계획을 신뢰하는 것이 중요합니다.
![]() |
![]() |
![]() |
마무리하며
폐결절은 많은 사람들이 건강검진을 통해 우연히 마주하게 되는 소견입니다. 대부분은 증상이 없고, 큰 문제로 이어지지 않는 경우가 더 많습니다. 하지만 ‘아무렇지 않다’고 방치하는 것 역시 바람직하지 않습니다. 정기적인 추적 관찰과 생활습관 관리만으로도 충분히 건강을 지킬 수 있습니다. 불안함보다는 정확한 정보와 차분한 대응이 가장 큰 도움이 된다는 점을 기억하시기 바랍니다.
< 함께 읽으면 좋은 글 >
기침이 오래가면 의심되는 질병
기침은 흔한 증상이지만, 몇 주 이상 지속된다면 단순 감기가 아닐 수 있습니다. 특히 3주 이상 이어지는 기침은 우리 몸이 보내는 위험 신호일 수 있는데요. 단순히 약만 먹고 넘기기보다, 어떤
meiiilog.com
폐암 초기증상
폐암 초기증상조기 발견을 위한 체크리스트 폐암은 초기 증상이 뚜렷하지 않아 조기에 발견하기 어려운 대표적인 암입니다. 하지만 일부 증상은 일상에서 간과되기 쉬운 경미한 변화로 나타나
meiiilog.com
갑상선 결절 암일 확률은? 증상부터 검사까지 꼭 알아야 할 정보
목에 혹이 만져지시나요? 갑상선 결절은 생각보다 많은 사람이 겪고 있지만, 대부분은 모른 채 지내고 있어요. 혹시 암일 확률은 얼마나 될까요? 1cm, 2cm 이상이면 어떤 검사를 받아야 할까요? 지
meiiilog.com
'알아두면 좋은 유용한 정보 > 건강정보' 카테고리의 다른 글
| 혈당 스파이크 증상 (1) | 2026.01.16 |
|---|---|
| 폐암에 좋은 음식 10가지 (0) | 2026.01.15 |
| 아르기닌 하루 섭취량과 부작용 (1) | 2026.01.14 |
| 아르기닌 많은 음식 (1) | 2026.01.13 |
| 아르기닌의 효능 6가지 (0) | 2026.01.13 |







