
뇌경색 증상이 생겼다면 시간과의 싸움이 됩니다. 발병 후 3시간의 골든타임이 있는데요. 뇌경색은 빠르게 대응하면 후유증을 최소화할 수 있지만, 초기에 놓치면 회복이 어려워집니다. 지금 바로 뇌경색의 초기증상과 예방법, 대응법에 대해서 알려드릴게요.

“그날은 정말 평범했는데, 갑자기 그 일이 생겼어요”
50대 중반의 남성분 입니다. 평소에도 혈압이 조금 높은 편이었지만 병원에는 자주 가지 않았죠. 그러던 어느 날, 아침에 일어나서 세수를 하려는데 오른쪽 팔에 힘이 들어가지 않는 겁니다. 처음에는 단순히 팔이 저린 줄 알았대요. 그런데 말도 어눌해지고, 얼굴 한쪽이 이상하게 굳는 느낌이 들었다고 합니다. 급히 병원에 가니 뇌경색 초기 진단을 받았고, 다행히 빠르게 치료를 받아 큰 후유증 없이 회복할 수 있었습니다. 만약 조금만 늦었더라면 결과는 달랐을 거예요.
뇌경색 초기증상 7가지
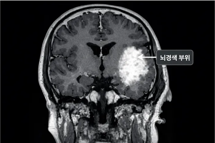
뇌경색이란 뇌로 가는 혈류가 막혀 뇌세포가 손상되는 상태를 말합니다.혈류가 차단되면 해당 부위의 뇌 조직이 기능을 잃게 되는데, 이로 인해 다양한 증상이 나타납니다. 조기에 발견하고 치료하면 상당 부분 회복이 가능하지만, 놓치면 영구적인 장애가 남을 수도 있습니다. 초기 증상을 정확히 알고 빠르게 대처하는 것이 무엇보다 중요합니다.

1. 한쪽 얼굴이 갑자기 처지거나 감각이 둔해진다
웃으려고 하면 입꼬리가 한쪽만 올라가거나, 눈이 한쪽만 제대로 감기지 않는 증상이 대표적입니다. 이를 주변 사람이 더 잘 알아챌 수 있어요. 거울을 보거나 셀카를 찍어보면 좌우 비대칭이 느껴질 수 있습니다.
2. 한쪽 팔다리에 갑작스럽게 힘이 빠진다
한쪽 팔이나 다리에 갑자기 힘이 들어가지 않거나, 저릿저릿한 감각이 사라지는 느낌이 듭니다. 이를테면 들고 있던 물건을 자기도 모르게 떨어뜨리거나, 걸을 때 다리에 힘이 풀리는 식입니다.
3. 말이 어눌해지고, 말뜻을 잘 이해하지 못한다
말을 하려는데 단어가 꼬이거나, 발음이 부정확해지고, 다른 사람이 하는 말이 평소보다 더 어렵게 느껴지는 경우가 있습니다. 자신의 말이 이상하게 들려도 본인은 잘 인지하지 못하는 경우도 많습니다.
4. 갑자기 한쪽 눈이 잘 안 보이거나 시야가 흐려진다
시야가 갑자기 흐릿해지거나, 한쪽 눈이 마치 가려진 것처럼 보이지 않을 수 있습니다. 사물이 두 개로 보이거나, 눈앞이 번쩍이는 듯한 현상이 나타날 수도 있습니다.
5. 갑작스러운 어지러움과 균형감각 상실
멀쩡히 서 있다가 갑자기 어지럽고 휘청거리며, 중심을 잡기 어려운 느낌이 든다면 뇌경색 초기 증상일 수 있습니다. 특히 이유 없는 심한 어지러움은 신호일 수 있습니다.
6. 갑작스러운 두통 (특히 경험해보지 못한 종류의 통증)
기존의 두통과는 다른, 날카롭고 갑작스러운 통증이 느껴진다면 의심해봐야 합니다. 특히 평소 두통이 없는 사람이 갑자기 겪는 통증은 주의가 필요합니다.
7. 일시적으로 증상이 나타났다가 사라진다
위 증상들이 수 분 또는 수 시간 후 사라지더라도 안심하면 안 됩니다. 이런 경우는 일과성 허혈 발작(TIA)일 가능성이 높으며, 곧바로 뇌경색으로 이어질 수 있습니다. 일시적인 증상이 사라진 경우라도 반드시 병원 진료가 필요합니다.
뇌경색 초기증상 체크
증상을 빠르게 파악하기 위한 간단한 방법이 있습니다. 아래 3가지를 확인해보세요.
- FACE(얼굴): 웃을 때 입이 한쪽으로만 올라가는가?
- ARM(팔): 두 팔을 동시에 들어올릴 때 한쪽 팔이 처지는가?
- SPEECH(말): 말이 어눌하거나, 이해하기 어려운가?
이 세 가지 중 하나라도 해당된다면, 뇌경색을 의심하고 즉시 119에 연락해야 합니다. 빠른 판단과 대응이 생명을 구하고, 후유증을 줄일 수 있는 결정적인 순간이 될 수 있습니다.
![]() |
![]() |
![]() |
⚠️ 일시적 증상도 절대 지나치면 안 됩니다
간혹 뇌경색 전조 증상으로 일시적인 마비나 어지러움, 시야 이상 등이 나타났다가 몇 분 내로 사라지는 경우가 있습니다. 이런 상태를 흔히 '일과성 허혈 발작'이라고 부르는데, 쉽게 말하면 뇌경색의 경고입니다.
이때 병원에 가서 검사와 치료를 받으면 뇌경색으로 진행되는 것을 막을 수 있지만, 대부분의 사람들이 "괜찮아졌으니 그냥 넘어가자"며 방치합니다. 그 결과 며칠 혹은 몇 주 내에 진짜 뇌경색이 발생하는 경우도 적지 않습니다.
⚠️ 이런 경우 특히 주의하세요

아래와 같은 조건에 해당하는 분들은 뇌경색 발생 위험이 높기 때문에 더더욱 초기 증상에 민감하게 반응해야 합니다.
- 고혈압, 당뇨, 고지혈증을 앓고 있는 분
- 흡연 또는 과음을 자주 하는 생활습관을 가진 분
- 가족 중 뇌졸중, 뇌경색 병력이 있는 경우
- 운동 부족, 비만, 스트레스가 많은 환경에서 생활하는 분
이런 분들은 평소보다 조금만 이상해도 병원을 찾는 것이 안전합니다. 특히 40대 이상이라면 정기적인 건강검진을 통해 혈관 건강을 체크하는 것이 좋습니다.
뇌경색 초기 대응 방법

혹시 주변에서 누군가 위의 증상을 보인다면 어떻게 해야 할까요? 가장 중요한 것은 **시간을 지체하지 않는 것**입니다.
- 119에 즉시 연락하고, 환자를 눕힌 채로 편안한 자세를 유지시킵니다.
- 환자가 의식이 있다면 말을 걸어보며 의사소통이 가능한지 확인해봅니다.
- 물이나 음식을 먹이지 마세요. 삼킴 기능에 문제가 생겨 위험할 수 있습니다.
- 응급실에서는 증상이 시작된 시간을 정확히 알리는 것이 매우 중요합니다.
뇌경색은 치료 시점이 빠를수록 뇌 손상을 줄이고 회복 가능성을 높일 수 있습니다. 증상 발생 후 3시간 이내 치료를 시작하는 것이 가장 효과적이라는 점, 꼭 기억하세요.
평소 생활습관 관리가 예방의 시작

뇌경색은 무서운 질환이지만, 평소에 건강한 생활습관을 실천하면 예방이 가능합니다. 무엇보다 중요한 건 혈압, 혈당, 콜레스테롤을 잘 관리하는 것이에요.
- 짠 음식, 기름진 음식 줄이고 채소와 과일 위주 식사하기
- 금연, 절주, 충분한 수면 유지
- 하루 30분 이상 걷기 같은 유산소 운동 실천
- 스트레스 해소를 위한 여가 활동 갖기
건강은 어느 날 갑자기 무너지지 않습니다. 하지만 반대로 매일의 작은 습관들이 건강을 지키는 가장 큰 힘이 됩니다.
계단오르기 운동효과
계단오르기 운동효과 보신분 있나요? 10분만 투자해도 몸이 달라집니다 헬스장 안 가도 된다면 얼마나 좋을까요? 복잡한 기구 없이, 특별한 기술도 없이, 우리가 매일 마주하는 ‘계단’만으로
meiiilog.com
“뇌경색 전조증상 절대 놓치지 마세요”
뇌경색은 생각보다 가까이 있습니다. 증상이 너무 평범해서 그냥 넘기기 쉽고, 바쁘다는 이유로 병원을 미루다 큰일이 나는 경우도 많습니다. 오늘 내가 평소와 다르게 느껴졌다면, 잠깐이라도 이상한 기분이 들었다면, 그건 내 몸이 보내는 경고일 수 있습니다.
뇌경색은 ‘조기에 발견하면 치료가 가능하다’는 것이 유일한 희망입니다.
![]() |
![]() |
![]() |
![]() |
![]() |
![]() |
< 함께 읽으면 좋은 글 >
뇌경색 치료방법과 뇌경색에 좋은 음식 총정리
갑자기 한쪽 팔이 마비되거나 말이 어눌해진다면, 단순 피로가 아니라 ‘뇌경색’의 신호일 수 있습니다. 뇌경색은 빠른 치료가 생명을 살리고, 회복 후에는 식습관 관리가 재발을 막는 핵심이
meiiilog.com
뇌경색 원인, 뇌혈관이 막히는 진짜 이유
뇌경색은 갑작스럽게 찾아오지만, 그 배경에는 오랜 시간 쌓여온 원인들이 있습니다. 특히 급성 뇌경색 원인은 생활습관, 만성질환, 나쁜 혈관 상태 등이 복합적으로 작용해 발생합니다. 단순히
meiiilog.com
고혈압 환자 응급상황 대처법 - 쓰러졌을 때 꼭 알아야 할 응급처치 방법
고혈압 환자가 갑자기 쓰러졌을 때 가족이나 주변 사람들이 알아야 할 응급처치 방법과 주의사항을 자세히 설명합니다. 일상관리부터 응급상황 대처법까지 한눈에 확인하세요. 고혈압 응급 상
meiiilog.com
당뇨 전단계 관리방법
당뇨 전단계, 지금 관리 안 하면 진짜 당뇨병 됩니다이 글을 끝까지 읽으면 당뇨 전단계에서도 혈당을 건강하게 유지하는 방법을 누구보다 쉽게 이해할 수 있습니다. 중요한 건 약보다 '지금 실
meiiilog.com
'알아두면 좋은 유용한 정보 > 건강정보' 카테고리의 다른 글
| 미간 주름 생기는 이유 원인과 예방 방법 (0) | 2026.01.11 |
|---|---|
| 성병의 종류와 증상 남자여자 구분 (1) | 2026.01.09 |
| 모야모야병 완치 가능할까? 치료와 회복 (0) | 2026.01.08 |
| 모야모야병 유전 가족력 (0) | 2026.01.08 |
| 백내장에 좋은 음식 (1) | 2026.01.07 |








